牙齿矫正要多久见明显高效
- 时间:2015-09-08
- QQ咨询
- |
- 医师答疑
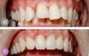
如今选择做牙齿矫正的朋友很多,不过有些朋友担心牙齿矫正影响生活,耽误工作,因此迟迟没有做牙齿矫正。下面带大家一起去了解下牙齿矫正所需的时间。

正畸治疗可以有效的解决我们牙齿排列不齐的现象,这种治疗是一种持久性的矫正治疗,由于每位患者牙齿排列不齐的严重程度不一样,牙齿正畸治疗的方是法不同的,牙齿正畸要多长时间也会存在差异。如果需要拔除多颗牙齿,牙齿正畸时间会相对较长。
医师介绍,虽然每个病人的牙齿畸形程度不一样,治疗所用时间也就不,但是只要您与正畸医生合作良好,按时复诊,保持口腔卫生健康,保护矫治器不损坏,那么正畸治疗的时间就会大大缩短如果牙齿矫正期间需要患者进行正确的牙齿护理和保健。
正畸矫治的疗程与错颌畸形的严重程度、患者对正畸治疗的组织学反应、患者的合作程度有关、正畸医生的习惯及能力、所使用的矫治器等等因素均有关系。由于存在众多的影响因素,牙齿矫正没有一个具体的时间。
一般来讲,儿童矫治的时间为1-2年,简单病例可能几个月完成,复杂的可能要2年多。成人牙齿矫正由于错过佳的牙齿矫正时间,矫正时间还需要延长年左右。牙齿矫正后还需要一段长的保持时间,没有好好的佩戴保持器,矫正过来的牙齿可是会原形毕露的,如果牙齿矫正出现了反复,那么轻微的可以重新调整,可能要多增加几个月到年的矫正时间,严重的话就要重头来过了。
进行牙齿矫正时定要到正规专业的来进行,这样牙齿矫正才会有明显高效,检查佩戴合理设计的矫正器,只要患者护理的好,牙齿矫正的时间是会大大的缩短的,矫正的明显高效也更佳。
牙齿矫正是需要定时间的,所以我们进行牙齿矫正需要耐心等待。进行牙齿矫正请到正规找专业口腔医师操作手术以手术的成功和明显高效。上海美莱将是您的选,如果您对牙齿矫正还有任何疑问,欢迎随时在线咨询,上海美莱将竭诚为您服务,我们是您的美丽顾问,为您的美丽保驾护航!
- 上一篇:牙齿矫正可以改变脸型吗?
- 下一篇:牙齿矫正什么年龄段合适



