牙齿矫正什么年龄段合适
- 时间:2015-09-08
- QQ咨询
- |
- 医师答疑
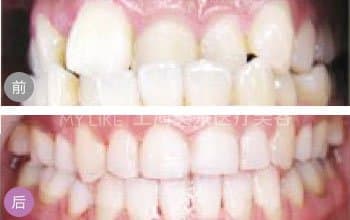
随着人们对美丽的追求度不断提高,连牙齿都成了重点整治对象,现在因为牙齿不齐而进行牙齿矫正的爱美人士有很多。不过,牙齿矫正要分时间段,这样能够让消费者获得更好的牙齿矫正明显高效。那么,来了解下分阶段牙齿矫正的不同注意事项吧。

牙齿矫正什么年龄段合适?专业人士表明,其实牙齿矫正年龄比较适合的、进行牙齿矫正比较有优势的主要是有:
牙齿矫正年龄阶段:乳牙期幼儿(3-6岁),有很大的生长、发育潜力,不宜在乳牙期立即采用矫治手段。但是,乳牙期是否牙合畸形概不需要矫治呢?不!有些乳牙错合,还是要及早矫治的。如反合,包括前牙和后牙反向咬合者;吮指、咬唇、吐舌等不良习惯引起的牙合畸形,及早矫治对牙、合、面的正常生育极为有利。
牙齿矫正年龄第二阶段是换牙期(6-12),也是恒牙萌出时期,乳牙脱落的交换期。在换牙期,还是应该抓住良机,予以矫治。但是,换牙期的矫治必须十分谨慎,切矫治设计,以不妨碍面部发育为原则。
牙齿矫正年龄第三个阶段是恒牙期(12-16岁),这个时期为大多数人的矫正适合时期。般矫正治疗均可积极地进行。矫治后,牙合畸形的各种现象将会得到不同程度的明显改善。无论哪种方法矫正,牙齿排齐后都要有个保持期,一般需6-12月。
如果您对牙齿矫正还有任何疑问,欢迎随时在线咨询,上海美莱将竭诚为您服务,我们是您的美丽顾问,为您的美丽保驾护航!
- 上一篇:牙齿矫正要多久见明显高效
- 下一篇:牙齿矫正对牙齿寿命有影响吗



